
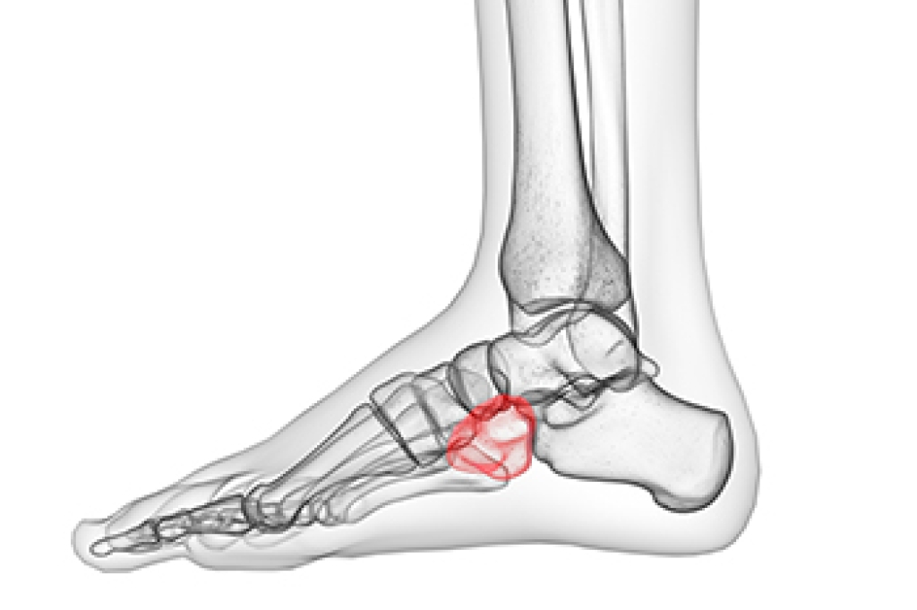
The navicular bone is one of the 26 bones in the foot and is located across the inside top of the foot just in front of the ankle joint. The navicular connects the ankle to the foot bones and helps to form the arch that enables you to walk. Navicular stress fractures, which are hairline cracks in the bone, are often sustained by athletes who kick, twist or sprint. The result is often a chronic midfoot ache, but the vague location of the pain may make it difficult to diagnose. Hopping or standing on tiptoe can be one way of recognizing a navicular stress fracture. Someone with extremely high arches or a longer second toe may be more likely to sustain this injury, experts believe. X-rays may not be able to recognize navicular stress fractures, but an MRI or other imaging test can be more successful. Treatment may involve staying off the foot and wearing a cast for up to six weeks, or longer. If midfoot pain is becoming a nuisance, please consult with a podiatrist for a complete exam, diagnosis and options for treatment.
Activities where too much pressure is put on the feet can cause stress fractures. To learn more, contact Dr. Rouder from S.I. Podiatry. Our doctor can provide the care you need to keep your pain free and on your feet.
Dealing with Stress Fractures of the Foot and Ankle
Stress fractures occur in the foot and ankle when muscles in these areas weaken from too much or too little use. The feet and ankles then lose support when walking or running from the impact of the ground. Since there is no protection, the bones receive the full impact of each step. Stress on the feet can cause cracks to form in the bones, thus creating stress fractures.
What Are Stress Fractures?
Stress fractures occur frequently in individuals whose daily activities cause great impact on the feet and ankles. Stress factors are most common among:
- Runners
- People affected with Osteoporosis
- Tennis or basketball players
- Gymnasts
- High impact workouts
Symptoms
Pain from the fractures occur in the area of the fractures and can be constant or intermittent. It will often cause sharp or dull pain with swelling and tenderness. Engaging in any kind of activity which involves high impact will aggravate pain.
If you have any questions please contact our office located in Staten Island, NY . We offer the newest diagnostic and treatment technologies for all your foot and ankle needs.



